أخذ الباحثون من جامعة كامبريدج نظرة خاطفة على المجال السري لميكانيكا الكم. ففي ورقة نظريّة نُشرت في مجلة (Physical Review...
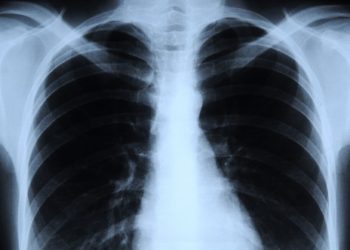
ما هي الأشعة السينية؟ كيف نستخدمها؟؟ وما هي المخاطر الناجمة عن استعمالها ؟؟ ما هي الأشعة السينية؟ الأشعة السينية هي...
في عام 2016، عادت جائزة نوبل للفيزياء إلى ثلاثة علماء بريطانيين لعملهم على الموصلات الفائقة، والأجسام ذات الميوعة الفائقة، والتي تضمنّت شرحًا لطور...
التأثير الشبحي عن بعد (اللامحلية - التأثير السببي الأسرع من الضوء) كان أحد اعتراضات "أينشتاين" على ميكانيكا الكم، وقد خصصّنا...
مَن منّا لم يَلعب بالمغناطيس في صغره؟، ومن منّا لم يُعجب بقوته الساحرة؟، لكن من منّا طرح في نفسه التساؤل...
إذا كانت كلمة "عالم" تُطلق في اللّغة العربية بشكلٍ عامٍ ومطلقٍ على كلّ من له علم ودراية مستفيضة في...
فيزياء الكم جديدة؟ خلال الفترة الممتدّة من منتصف إلى أواخر القرن العشرين، انتقد اختصاصيو الفيزياء الكمية النظرية الموحدة للفيزياء التي قدّمتها...
ﺃﺑﺎﻛﺲ (Abacus): كلمة ﻻﺗﻴﻨﻴﺔ ﻣﺸﺘﻘﺔ ﻣﻦ ﺍﻟﻜﻠﻤﺔ ﺍﻹﻏﺮﻳﻘﻴﺔ (Abax) ﺃﻭ (Abakon) وتعني "ﺟﺪﻭﻝ" (Table). ﺃﺑﺎﻛﺲ (Abacus) ﻋﺒﺎﺭﺓ ﻋﻦ ﻋﺪﺍﺩ ﺍﺳﺘﺨﺪم ﻋﻠﻰ...
يبدو أن المعهد الوطني الأمريكي للمعايير والتكنولوجيا (The US National Institute of Standards and Technology _NIST) لا يزال قادرًا على...
أشهر معادلة في الفيزياء هي المعادلة التي تربط بين الطاقة والكتلة في حالة السكون حيث صاغها عالم الفيزياء النظرية الشهير...