نشرت جامعة كامبريدج دراسة في مجلة بلوس وان PLOS ONE أن المواد الإباحية تحفز نشاط الدماغ لدى الأشخاص الذين يعانون من السلوك الجنسي القهري -المعروف عادة باسم إدمان الجنس- على غرار ما تسببه العقاقير في أدمغة مدمني المخدرات، ومع ذلك، يحذر الباحثون من أنّ هذا لا يعني بالضرورة أن المواد الإباحية نفسها هي إدمان.
على الرغم من أن التقديرات الدقيقة غير معروفة، فقد أشارت الدراسات السابقة إلى أنّ ما يصل إلى واحد من بين 25 شخصًا بالغين يتأثرون بالسلوك الجنسي القهري، بالإضافة إلى هاجس الأفكار الجنسية أو المشاعر أو السلوك الذي لا يستطيعون السيطرة عليه، وهذا يمكن أن يكون له تأثير على الحياة الشخصيّة والعمل للشخص، مما يؤدي إلى ألم نفسي كبير ومشاعر الذنب، لأنّ الاستخدام المفرط للمواد الإباحية هو واحد من السمات الرئيسية التي تم تحديدها لدى كثير من الأشخاص بالإضافة إلى السلوك الجنسي القهري، ومع ذلك لا يوجد حاليًا تعريف مقبول رسميًا لتشخيص الحالة.
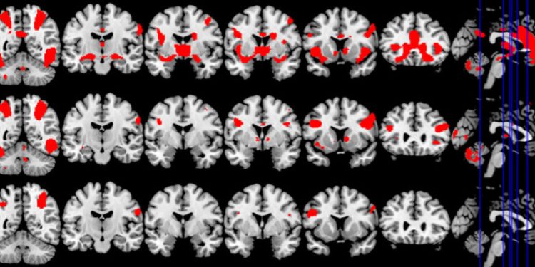
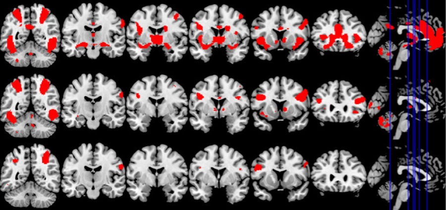
في دراسة تمولها مؤسسة (Wellcome Trust)، قام باحثون من قسم الطب النفسي بجامعة كامبريدج بالبحث في نشاط المخ لدى 19 مريضا من الذكور متأثرين بالسلوك الجنسي القهري ومقارنتهم بنفس العدد من المتطوعين الأصحاء، بدأ المرضى في مشاهدة المواد الإباحية في منذ سنوات عدة وبنسب أعلى بالنسبة للمتطوعين الأصحاء.
ترى الدكتورة فاليري فون (Valerie Voon) ، المتحدثة باسم (Wellcome Trust) بجامعة كامبريدج: “كان جميع المرضى في تجربتنا أشخاص واجهوا صعوبات كبيرة في التحكم في سلوكهم الجنسي، وكان لذلك عواقب وخيمة عليهم، مما أثر على حياتهم وعلاقاتهم في عدة نواح، حيث تظهر أوجه الشبه في سلوك المرضى الذين يعانون من إدمان المخدرات، لهذا أردنا أن نرى ما إذا كانت هذه التشابهات تنعكس في نشاط الدماغ أيضًا.”
وقد عرض على المشاركين في الدراسة سلسلة من أشرطة الفيديو القصيرة التي تحتوي على محتوى جنسي صريح أو رياضة، في حين تم رصد نشاط الدماغ باستخدام التصوير بالرنين المغناطيسي الوظيفي (fMRI)، والذي يَستخدم إشارة تعتمد على مستوى الأوكسجين في الدم (BOLD) لقياس نشاط المخ.
وجد الباحثون أن ثلاث مناطق على وجه الخصوص كانت أكثر نشاطًا في أدمغة المرضى مع وجود سلوك جنسي قهري مقارنة مع المتطوعين الأصحاء، بشكل ملحوظ، كانت هذه المناطق هي كالآتي: (المخطط البطني “Ventral Striatum”، الأمامية الظهرية الحزامية “Dorsal Anterior Cingulate” واللوزة “Amygdala”)، وهي نفس المناطق النشطة بشكل خاص أيضًا لدى مدمني المخدرات عند ظهور المحفزات كالمخدرات، وتتشارك في منطقة المُخطط البطني (Ventral Striatum) أثناء معالجة المكافأة والدافع، في حين أن المنطقة الأمامية الظهرية الحزامية (Dorsal Anterior Cingulate) متورطة في توقع المكافآت وشغف المخدرات، وتشارك اللوزة (Amygdala) في معالجة الأحداث والانفعالات العاطفية المهمة.
كما طلب الباحثون من المشاركين تقييم مستوى الرغبة الجنسية التي يشعرون بها أثناء مشاهدة مقاطع الفيديو، ومدى إعجابهم بها، وجد أن مدمني المخدرات قادتهم إلى البحث عن المخدرات لأنهم يريدون ذلك -بدل التمتع بها-، وتعرف هذه العملية غير الطبيعية بدافع الحوافز (Incentive Motivation)، وهي نظرية مقنعة في اضطرابات الإدمان.
وكما كان متوقعًا، أظهر المرضى الذين يعانون من سلوك جنسي قهري (Compulsive Sexual Behaviour) مستويات أعلى من الرغبة بعد مشاهدة أشرطة الفيديو الجنسية الصريحة، وارتبطت الرغبة أيضًا بارتفاع التفاعلات بين المناطق الدماغية المذكورة سابقًا ،لكن كان التفاعل بينها محدودًا بالمقارنة مع أشرطة الفيديو الرياضية الإيحائية.
وجد الدكتور فون (Voon) وزملاؤه أيضًا علاقة بين نشاط الدماغ والسن، كلما كان المريض أصغر سنًا، كلما زاد مستوى النشاط في المخطط البطني (Ventral Striatum) استجابة للمواد الإباحية، الأهم من ذلك كان هذا الارتباط أقوى لدى الأفراد الذين يعانون من سلوك جنسي قهري، مناطق السيطرة الأمامية في الدماغ -هي في أساس تمثل الكابح على قابليتنا للسلوك- وتستمر في التطور إلى منتصف العشرينات، هذا الاختلال يعبر عن المزيد من الاندفاعية في السلوك والسير نحو المخاطر لدى الشباب.
وتشير النتائج المتعلقة بالعمر لدى الأفراد الذين يعانون من سلوكيات جنسية قهرية إلى أن المخطط البطني (Ventral Striatum) قد يكون مهمًا في الجوانب التنموية للسلوك الجنسي القهري بطريقة مشابهة كما يحدث لدى مدمني المخدرات، على الرغم من أن هناك حاجة إلى اختبار مباشر لهذا الاحتمال.
“هناك اختلافات واضحة في نشاط المخ بين المرضى الذين لديهم سلوك جنسي قهري والمتطوعين الأصحاء، هذه الاختلافات تعكس الأعراض الواضحة لدى مدمني المخدرات”، ويضيف الدكتور فون (Voon) : “إن هذه النتائج مثيرة للاهتمام، فمن المهم أن نلاحظ أنها لا يمكن أن تستخدم لتشخيص الحالة، كما أن أبحاثنا لا توفر بالضرورة دليلًا على أن هؤلاء الأفراد مدمنون على الإباحية -أو أن الإباحية هي الإدمان بطبيعتها، بالإضافة إلى ذلك بكثير فإن البحث مطلوب لفهم هذه العلاقة بين السلوك الجنسي القهري وإدمان المخدرات”.
يقول الدكتور جون ويليامز (John Williams)، رئيس قسم علم الأعصاب والصحة النفسية في(Wellcome Trust): “إن السلوكيات الإجبارية، بما في ذلك مشاهدة الأفلام بشكل مفرط، والإفراط في تناول الطعام، والمقامرة، أصبحت شائعة بشكل متزايد، وهذه الدراسة تأخذنا خطوة أُخرى لمعرفة سبب حملنا على تكرار السلوكيات التي نعلم أنها يمكن أن تضر بنا، سواءً كنا بصدد معالجة الإدمان على الجنس، أو تعاطي المخدرات أو اضطرابات الأكل، ومعرفة طرق أفضل لحل ذلك من خلال التدخل من أجل كسر هذه الدورة هو الهدف الأسمى من هذا البحث”.
المصدر : هنا
تدقيق: لمونس جمانة












